Leading Forensic Dentistry Experts

Forensic Dentistry
Expert Witness Services

Comprehensive forensic dentistry expert witness services including bite mark analysis, dental identification, dental age estimation, dental injury assessment, dental negligence evaluation, dental records examination, human identification from dental remains, and odontology reports. Supporting criminal prosecutions, defence cases, civil litigation, personal injury claims, dental negligence cases, and disaster victim identification across England, Wales, Scotland, and Northern Ireland.

GDC Registered Dentists

Specialist forensic odontologists

Bite Mark Analysis

Expert pattern comparison

Court Experience

Crown Court testimony

CPR Part 35 Compliant

Legally admissible reports

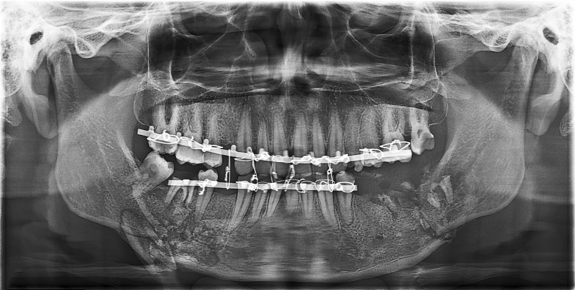
Dental panoramic x-ray showing  bone fracture and fragmentation; the maxillae and the mandible stabilized with a retention arc

Forensic Dentistry Expert Services

Comprehensive dental forensic analysis and odontology expertise

Bite Mark Analysis

Expert examination and comparison of bite marks found on victims, suspects, or objects with dental impressions and photographic analysis.

  • Bite mark pattern analysis
  • Dental impression comparison
  • Photographic overlay techniques
  • Attribution likelihood assessment

Dental Identification

Human identification through dental record comparison, radiographic analysis, and dental charting for disaster victims and unidentified remains.

  • Post-mortem dental examination
  • Ante-mortem record comparison
  • Radiographic matching
  • Dental charting and documentation

Dental Age Estimation

Age assessment using dental development, tooth eruption patterns, and radiographic evaluation for asylum seekers and criminal proceedings.

  • Tooth eruption stage assessment
  • Third molar development analysis
  • Radiographic age indicators
  • Age range determination

Dental Injury Assessment

Expert evaluation of dental injuries for personal injury claims, criminal assault cases, and accident investigations with treatment needs analysis.

  • Traumatic dental injury classification
  • Injury mechanism assessment
  • Treatment needs evaluation
  • Long-term prognosis opinion

Dental Negligence Evaluation

Expert opinion on dental treatment standards, breach of duty, causation analysis, and professional negligence claims against dentists.

  • Standard of care assessment
  • Breach of duty analysis
  • Causation evaluation
  • Treatment record review

Dental Records Examination

Comprehensive review of dental records, radiographs, treatment notes, and clinical photography for evidential purposes.

  • Dental record authenticity review
  • Radiographic interpretation
  • Treatment history analysis
  • Documentation quality assessment

All Forensic Odontology Specialisms Covered

Our forensic dentistry experts are GDC registered dentists with specialist training in forensic odontology. We provide expert witness services for criminal prosecutions, civil litigation, dental negligence claims, personal injury, disaster victim identification, and age assessment cases across the UK.

Request a Specialist

Why Choose Our Forensic Dentistry Experts

Trusted by police forces, CPS, defence solicitors, and courts across the UK

GDC Registered Specialists

General Dental Council registered dentists with specialist postgraduate qualifications in forensic odontology and membership of forensic science societies.

Extensive Court Experience

Regular expert witness testimony in Crown Court criminal trials, coroner's inquests, civil litigation, and dental negligence proceedings with clear presentation skills.

Scientific Methodology

Evidence-based forensic odontology using scientifically validated methods for bite mark analysis, dental identification, and age estimation with peer-reviewed research foundation.

Prosecution & Defence Work

Experience instructed by both prosecution and defence with objective impartial analysis. Robust methodology withstands scrutiny from opposing experts and cross-examination.

CPR & CrimPR Compliant

All forensic dentistry reports fully compliant with CPR Part 35 and CrimPR Part 19 requirements with complete methodology disclosure and limitations stated.

Efficient Service

Standard forensic dentistry reports within 3-4 weeks. Expedited service available for urgent criminal trials and time-critical investigations. Court attendance scheduling flexibility.

Gloved hand holding human jaw bone, with dental tools nearby, during scientific examination in laboratory setting

How to Instruct Us

A straightforward process from instruction to comprehensive forensic dentistry report

1

Send Letter of Instruction

Email your letter of instruction with case details, dental records, photographs, radiographs, and specific questions. Include bite mark images, dental charts, or victim/suspect dental records. We confirm acceptance within 24-48 hours.

2

Expert Forensic Odontologist Allocation

We match your case to a GDC registered forensic dentist with relevant specialism (bite marks, identification, age estimation, negligence). You receive their detailed CV, qualifications, and court experience.

3

Forensic Dental Examination

Comprehensive forensic odontology examination including dental record review, radiographic analysis, bite mark comparison, age assessment, or injury evaluation. Physical examination arranged where necessary.

4

Report & Court Attendance

Receive detailed forensic dentistry report with findings, methodology, dental charts, photographic exhibits, and expert opinions. Court attendance, conferences, and responses to opposing expert opinions available.

Need a Forensic Dentistry Expert?

Our panel of GDC registered forensic odontologists are ready to provide comprehensive bite mark analysis, dental identification, age estimation, dental injury assessment, dental negligence evaluation, and forensic dentistry reports for criminal prosecutions, defence cases, civil litigation, personal injury claims, and disaster victim identification across England, Wales, Scotland, and Northern Ireland.

24-48hrs
Response Time
3-4 Weeks
Standard Turnaround
UK Wide
Expert Coverage